Niềng răng giá bao nhiêu là mối quan tâm hàng đầu của cha mẹ về giá cả tương ứng với chất lượng cho những đứa con yêu thương của mình. Hiểu được điều này, Nha Khoa Thái Dương với đội ngũ bác sỹ kinh nghiệm tu nghiệp ở Mỹ, Hàn Quốc sẽ bảo đảm giá thấp nhất hiện nay ở thị trường và chất lượng tốt nhất. Cam kết không hết hô sẽ hoàn tiền lại.
2 Tin tức 21,335 lượt xem
1 Tin tức 7,433 lượt xem
1 Tin tức 8,184 lượt xem
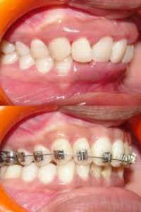
Niềng răng hô, niềng răng móm giá bao nhiêu
1 Tin tức 15,169 lượt xem
Giá niềng răng rẻ nhất, niềng răng tốt nhất, niềng răng nhanh nhất tại TP HCM, Saigon với thời gian cam kết bảo hành hoàn tiền nếu không hết hô, hết móm
8,173 lượt xem
Niềng răng ở đâu tốt ở Saigon TP HCM
1 Tin tức 11,391 lượt xem
Tư Vấn Bác Sỹ: +84.903.823.059
Zalo: 0903823059
Tổng truy cập 3,855,343
Đang online10
Nha Khoa Thái Dương là Nha Khoa hội tụ những Bác Sỹ Giỏi có Tài - Tầm - Tâm với hơn 23 năm kinh nghiệm & là Nha Khoa uy tín và nha khoa Tốt ở TP. HCMC. Chúng tôi rất tự hào về lĩnh vực chuyên môn sâu của mình như Chỉnh hình răng mặt, Niềng răng, Răng sứ thẩm mỹ, trám răng, Nha Khoa Thẩm Mỹ... mà chúng tôi đã đem lại Niềm vui cho rất nhiều khách hàng trên 19 năm qua với các Bác Sỹ chính quy RHM đã được Tu nghiệp nước ngoài Mỹ, Việt Nam... và Cam kết phục vụ Tốt, chất lượng tốt hơn hàng ngày cho Quý Khách hàng.
© Bản quyền thuộc về Nha Khoa THÁI DƯƠNG: www.thaiduongnhakhoa.com
NHA KHOA THÁI DƯƠNG
Địa chỉ: 104 Nguyễn Phi Khanh, P. Tân Định Q1-TPHCM
ĐT:0283.8222487-0283.8295.648 - 0903823059
Giấy chứng nhận đăng ký kinh doanh: 41A8010005 cấp ngày 14/08/2009
Giấy phép hoạt động khám bệnh, chữa bệnh số: 00174/SYT-GPHĐ do sở Y tế TPHCM cấp ngày 09/07/2013
Chứng Chỉ Hành nghề khám bệnh, chữa bệnh số: 000445/HCM-CCHN do sở Y tế TPHCM cấp ngày 21/05/2012
Chính sách quyền riêng tư |Tuyên Bố Miễn Trừ Trách Nhiệm | Điều Khoản Và Điều Kiện
© 2024 Nha Nhoa Thái Dương giữ bản quyền nội dung trên website này
(*) Kết quả điều trị phụ thuộc vào cơ địa của mỗi người
ĐỊA CHỈ NHA KHOA THÁI DƯƠNG
Email: [email protected]/ thuynga23bd@gmail.com
HOTLINE: Dr. NGA: (+84)-903.823.059
Số. 104 Nguyễn Phi Khanh,
P. Tân Định, Q.1, TP. Hồ Chí Minh.
Điện Thoại: (+84)-28-3-8222487-0283.8295648 - (+84)-903823059
Giảm Giá Đặc Biệt Khai Giảng Vui ĐẸP NOEL trước 31.12.2025, GIẢM GIÁ 5%-10%
Đến với Nha Khoa Thái Dương: Bạn sẽ được điều trị, chăm sóc hàm răng tốt nhất bởi các Bác Sĩ, Thạc sĩ chuyên khoa Răng Hàm Mặt trên 12-15 năm kinh nghiệm
+ Tẩy Trắng Răng Laser 1 giờ Giá 3Tr Giảm còn => 1.8 Triệu 2 hàm
+ Giảm Răng Sứ Toàn Sứ Zirco Nhật 4.5 Triệu Giảm Còn 2.9 Triệu / Răng Sứ
+ Giảm Răng Toàn Sứ Cercon HT 5.6 Triệu còn 4.5 Triệu
+ Răng Toàn Sứ Zirco Mỹ: 5 Triệu Giảm --> 3.6 Triêu
+ Răng Sứ Titan 2.5 Triệu Giảm còn 1.98 Triệu.
+ Giảm 10% - 20% cho Dich Vụ Cạo Vôi Răng Và Trám Răng Thẩm Mỹ
+ Đội Ngũ BS > 20 Năm Kinh Nghiệm Chỉnh Hình, Phục Hình Răng sứ... Uy tín và Thẩm mỹ cao
Các Chi nhánh khác của Nha Khoa Thái Dương:
TẶNG Voucher GIẢM GIÁ Trị Giá 100.000 VNĐ khi làm dịch vụ từ 1.000,000 VNĐ trở lên.
>>>Giá KHUYẾN RĂNG SỨ -20%, NIỀNG RĂNG, -50% TẨY TRẮNG RĂNG<<<
>>Niềng Răng Trả Góp 6 tháng - 12 tháng, Không Lãi Suất <<
Hot Line: BS. NGA: +84.90.3.823.059
Website: http://www.thaiduongnhakhoa.com