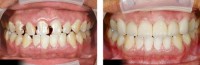
• Niềng RĂNG

    Niềng RĂNG

    10 chuyên mục

  • Răng Sứ Thẩm Mỹ

    Răng Sứ Thẩm Mỹ

    3 chuyên mục

  • Răng giả Tháo Lắp

    Răng giả Tháo Lắp

    Hàm Răng giả Tháo Lắp là gì.Nha Khoa nào làm răng giả tháo lắp tốt nhất, răng giả uy tín nhất và hàm răng giả chất lượng nhất TP HCM Saigon và giá rẻ nhấ TPHCM. Răng giả tháo lắp có giúp tăng cường chất năng nhai được không hay chỉ làm đẹp thẩm mỹ. Răng giả tháo lắp có tốt như cắm Implant và răng sứ không. Chúng ta hãy tìm hiểu thêm chi tiết ở các bài viết liên quan trong phần hàm răng giả tháo lắp này.

    2 chuyên mục

  • Tẩy Trắng Răng

    Tẩy Trắng Răng

    Tẩy trắng răng là gì? Tại sao phải tẩy trắng răng ở Nha Khoa? Tẩy trắng răng có hại đến men răng không? Tẩy trắng răng hiệu quả là dùng phương pháp nào. Tất cả sẽ được giải đáp trong chuyên mục Tẩy trắng răng để giúp bạn hiểu rõ hơn về tất cả các phương pháp tẩy trắng răng nhanh nhất, hiệu quả nhất và ít gây hại đến men răng nhất và không đau, tẩy trắng răng không ê buốt.

    5 Tin tức 314,476 lượt xem

  • Trám răng

    Trám răng

    1 Tin tức 14,420 lượt xem

  • NHỔ RĂNG

    NHỔ RĂNG

    Nhổ Răng ở đâu An toàn.Nhổ răng có đau không?Nhổ răng bao nhiêu tiền?Nhổ Răng KHÔN,nhổ răng số 8 hết bao nhiêu tiền rẻ nhất TPHCM?Nhổ răng KHÔN Tốt Nhất ở đâu?

    1 Tin tức 68,802 lượt xem

Hỗ Trợ

  • Tư Vấn Bác Sỹ: +84.903.823.059

    Zalo: 0903823059

Thống kê lượt xem

Tổng truy cập 3,914,822

Đang online7

GOI BS.NGA: 090. 3823 059

// //